Quem me lê há algum tempo, sabe que tenho problemas sérios de visão. Depois de um descolamento de retina, que praticamente cegou meu olho esquerdo, tive um derrame no olho direito que, até hoje, não conseguiu voltar à plenitude de suas possibilidades visuais (com uma miopia de ‘apenas’ -4,75°, mas uma intermitente névoa perpassando por ele, consigo enxergar o suficiente para escrever este blog, mas não para dirigir um carro, mesmo durante o dia).
Meu oftalmologista já me disse, claramente, que o olho esquerdo está perdido, a não ser que surja alguma tecnologia moderníssima que permita, por exemplo, substituir meu olho original por algum artefato técnico como naqueles filmes de ficção científica em que um chip é adaptado ao cérebro de um ser humano ou máquina e permite até uma visão radiográfica (já pensou que maravilha? A gente olhar a Massafera andando na rua e a vê-la totalmente nua?)
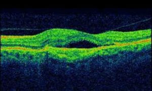
Já meu olho direito ainda tem salvação, apesar da forte miopia e de uma epitéliopatia, segundo ele. Depois de três injeções no olho, a massa sanguínea que resultou do derrame foi eliminada, restando, apenas, uma espécie de muxibinha que, com o tempo deve desaparecer naturalmente. Mas, por isto, eu tenho que fazer uma consulta mensal à clínica, onde passo por dois exames que radiografam tridimensionalmente meu olho e indicam se a tal muxibinha está desaparecendo como deveria… Caso não, vou ter que tomar mais injeções.

Os exames são feitos antes de eu conversar com o doutor, o que deveria tornar a consulta com ele diretamente muito rápida. Não é. Depois de examinar meu olho através dos exames no computador, me mostrando a situação, nós passamos uma boa meia hora conversando, sobre avanços tecnológicos da oftalmologia (eu quero saber sempre se ainda há alguma chance para meu olho esquerdo), sobre Deus, fé e, claro, sobre política.
Ele é um típico membro da classe alta, bem sucedido. Fez pós graduação nos Estados Unidos, é dono de uma clínica com mais de 20 anos de atuação e muito conceituada na capital. Na minha última consulta, enquanto ele escrevia minha situação no registro histórico que ele tem sobre mim – que tem umas 50 páginas ou mais escritas à mão, com desenhos de meus olhos – eu perguntei se umas estatuínhas de barro de santos que ele tem sobre a mesa era sinal da religiosidade dele.
Ele parou de escrever e foi direto: “Todas estas estátuas são presentes de clientes… que eu coloco aqui na mesa como um sinal da minha fé!” E explicou: na minha profissão, a fé é fundamental. Minha e dos meus pacientes… Eu já passei por coisas fantásticas aqui neste consultório: gente que chegou desesperada, praticamente cega, e que a gente conseguiu recuperar nem que fosse um pouco da visão, dando outra dimensão à sua vida! Gente para quem eu disse que a chance de enxergar de novo era remotíssima, mas que quis operar assim mesmo porque tinha fé em Nossa Senhora Aparecida… que ela recuperaria a visão e, realmente, recuperou 30, 40% dela…”

Eu também acho que a fé é fundamental para o ser humano e me sinto um tanto ou quanto desprestigiado pelos deuses ou por um Deus Todo Poderoso, por não ser dotado de fé em graças divinas. Mas me é racionalmente impossível acreditar que uma imagem onde você deposita uma vela acesa ou à frente da qual você se prostra em orações compungidas, pode alterar algum aspecto da sua vida. O cérebro sim! E é neste aspecto que eu acho que a fé é fundamental para muita gente. A pessoa acredita com tanto fervor que a santa ou Nossa Senhora vai interceder por ela junto a Deus, que seus neurônios passam a trabalhar com este objetivo.
‘De um jeito ou de outro, está na hora de você botar a sua fé em dia, não acha? Afinal de contas, suas crenças políticas estão sendo destroçadas nestas eleições, não é mesmo?’ – arrematou ele, com um leve sorriso. Ele é antipetista. Nunca me deu uma razão lógica para isto. Numa consulta anterior, eu cheguei a espicaçá-lo dizendo que o Mais Médicos tinha escancarado de vez a postura elitista da classe médica brasileira, que havia esquecido de sua missão principal e transformado a Medicina num negócio altamente lucrativo. Ele não rechaçou, nem justificou nada… apenas disse que já era contra o PT muito antes do Mais Médicos.
Numa outra ocasião, eu disse a ele porque, mesmo não sendo petista, eu apoiava e aplaudia as políticas implementadas pelos governos Lula, relacionadas às tantas ações de inclusão social de boa parte da população brasileira, e ele deu a entender que achava isto interessante, que o Brasil precisava mesmo expandir seu mercado interno, mas que esta população precisava entender, também, qual era sua posição na escala social.
Ele não afirmou isto, mas me lembrou um vizinho, direitista convicto, que também aplaudia as políticas inclusivas de Lula até ser criado o PROUNI. Dizia ele: mais gente ganhando mais dinheiro, mais gente tendo acesso a mais bens de consumo e consumindo mais é muito bom, a economia gira e cresce! “Mas que a inclusão se resuma a isto…! Que esta gente não queira levantar o nariz para assumir posições que precisam permanecer nas mãos de pessoas intelectual e culturalmente mais preparadas para ocupá-las.”
Até algum tempo atrás, eu achava que este até certo ponto inconsciente preconceito social era uma característica cultural das classes média e alta brasileiras. Anos atrás, quando visitava tios e tias no interior de Minas, eu observava este disfarçado preconceito de pessoas que tinham sido donas de terras, em relação a peões, posseiros e, por extensão, a mulatos e pretos. Na pequena cidade de origem de minha família, onde pulei muito Carnaval, havia (não sei se persiste até hoje) três clubes sociais: o Wenceslau Braz, da elite, o dos Operários e o Pulinho, dos pretos; a elite podia frequentar os outros dois, os operários e os pretos eram barrados no da elite!).
De uns tempos para cá, principalmente após a grande força adquirida pelas redes sociais na intercomunicação das pessoas, percebi que este sentimento de preponderância social é bem mais abrangente. As 40 milhões de pessoas que ascenderam para a classe média brasileira no período Lula/Dilma, gostaram de sua nova condição social. E, como tal ascensão começou a ser ameaçada no segundo governo Dilma (sendo quase efetivada no de Temer), com o agravamento da crise econômica, elas se tornaram antipetistas também. Dizem os psicólogos e analistas sociais que isto faz parte da natureza humana. Gratidão é um sentimento muito pessoal, não coletivo.
Juntando-se isto ao já histórico bombardeio midiático contra Lula e o PT, exacerbado nos últimos 04 anos, ao fanatismo das igrejas neopentecostais e ao partidarismo assumido pela Operação Lava Jato, primeiro contra Lula e o PT, depois contra os políticos em geral, criou-se um quadro oportuno para o surgimento de um ‘salvador da pátria’ que se posicionasse contra ‘tudo que está aí’. Bolsonaro é este sapo que, de repente, virou um príncipe encantado disposto a bancar um autoritarismo de fancaria e salvar o país matando bandidos, traficantes e corruptos em geral… E dizimando a Esquerda e seus direitos sociais no particular! E a maioria da população está acreditando nisto! Quando acordar, seremos um povo mais desigual ainda – se isto é possível – muito mais preconceituoso e com pouquíssima esperança de viver num país tropical, abençoado por Deus…